Carebot
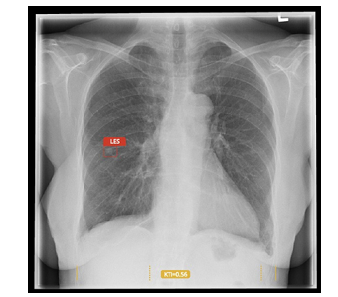
Carebot is software that uses artificial intelligence to automatically analyse X-ray images, supporting doctors in detecting findings, saving time, and increasing diagnostic confidence.
Carebot is software that uses artificial intelligence to automatically analyse X-ray images, supporting doctors in detecting findings, saving time, and increasing diagnostic confidence.